栏目
神经系统罕见病面临的机遇和挑战
崔丽英
2022, 1(2)
摘要 HTML全文 PDF
我国罕见病诊疗和研究平台建立现状和回顾
朱以诚, 张抒扬
2022, 1(2): 93-96. DOI: 10.12376/j.issn.2097-0501.2022.02.001
摘要 HTML全文 PDF
神经系统罕见病治疗进展与面临的问题
刘明生, 崔丽英
2022, 1(2): 97-100. DOI: 10.12376/j.issn.2097-0501.2022.02.002
摘要 HTML全文 PDF
人工智能支持罕见病诊疗的研究进展
弓孟春, 焦塬石, 马武仁, 刘鹏, 金晔, 胡继发, 牛灵, 史文钊, 张抒扬
2022, 1(2): 101-109. DOI: 10.12376/j.issn.2097-0501.2022.02.003
摘要 HTML全文 PDF
先天性肌无力综合征
王文卿, 赵玉英, 焉传祝
2022, 1(2): 110-121. DOI: 10.12376/j.issn.2097-0501.2022.02.004
摘要 HTML全文 PDF
抗LGI1脑炎:一项国人单中心队列研究
范思远, 任海涛, 林楠, 卢强, 金丽日, 黄颜, 侯波, 有慧, 冯逢, 崔瑞雪, 朱以诚, 关鸿志, 崔丽英
2022, 1(2): 122-129. DOI: 10.12376/j.issn.2097-0501.2022.02.005
摘要 HTML全文 PDF
成年肾上腺脑白质营养不良患者临床及遗传分析
王梦文, 伍楚君, 张在强
2022, 1(2): 130-136. DOI: 10.12376/j.issn.2097-0501.2022.02.006
摘要 HTML全文 PDF
自身免疫性胶质纤维酸性蛋白星形胶质细胞病临床特征分析
郑秀君, 林麒, 舒崖清, 孙晓渤, 钟晓南, 李蕊, 常艳宇, 邱伟, 王玉鸽
2022, 1(2): 137-141. DOI: 10.12376/j.issn.2097-0501.2022.02.007
摘要 HTML全文 PDF
基于脑小血管病队列的单基因遗传性脑小血管病致病基因低频有害变异的研究
万梦瑶, 刘静怡, 朱以诚, 周立新, 倪俊, 彭斌, 姚明
2022, 1(2): 142-150. DOI: 10.12376/j.issn.2097-0501.2022.02.008
摘要 HTML全文 PDF
反复蛛网膜下腔出血及脑室出血伴皮疹的青少年男性
洪月慧, 沈敏, 王涛, 马明圣, 赵森, 冯逢, 赵大春, 张文, 曾学军, 宣磊, 姚明, 朱以诚
2022, 1(2): 151-157. DOI: 10.12376/j.issn.2097-0501.2022.02.009
摘要 HTML全文 PDF
多准则决策分析应用于罕见病药品临床综合评价的专家共识(2022)
北京协和医院罕见病多学科协作组, 中国罕见病联盟
2022, 1(2): 158-177. DOI: 10.12376/j.issn.2097-0501.2022.02.010
摘要 HTML全文 PDF
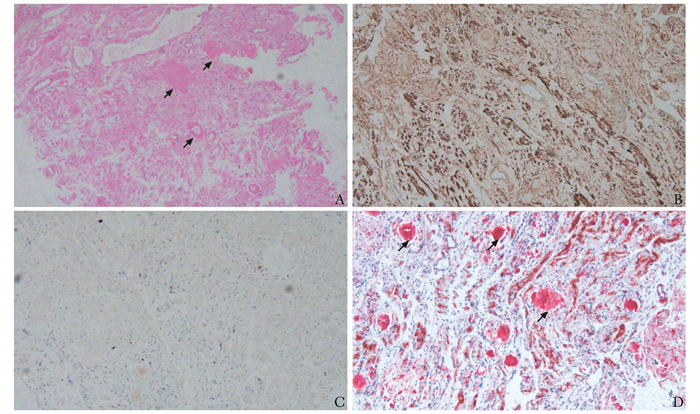
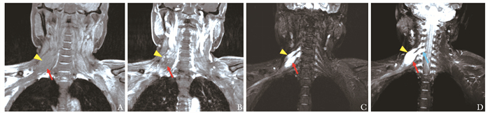
臂丛神经淀粉样变性一例
孙翀, 林洁, 郑永胜, 刘炳佑, 陈琳, 鲍奕仿, 赵重波
2022, 1(2): 178-182. DOI: 10.12376/j.issn.2097-0501.2022.02.011
摘要 HTML全文 PDF
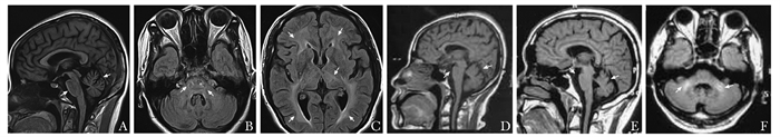
齿状核红核苍白球路易体萎缩症一例
罗赛, 江泓
2022, 1(2): 183-188. DOI: 10.12376/j.issn.2097-0501.2022.02.012
摘要 HTML全文 PDF
O'Sullivan-McLeod综合征一例
王玉, 王苏悦, 金平, 朱玉龙, 夏昆, 孙丹丹, 艾文龙, 付晓明, 叶群荣, 李凯, 王训
2022, 1(2): 189-195. DOI: 10.12376/j.issn.2097-0501.2022.02.013
摘要 HTML全文 PDF
一例白质脑病伴胼胝体显著萎缩的青年女性
沙宇惠, 张君怡, 倪俊
2022, 1(2): 196-198. DOI: 10.12376/j.issn.2097-0501.2022.02.014
摘要 HTML全文 PDF
反义寡核苷酸类药物在Duchenne型肌营养不良中的治疗进展
许婷婷, 左玮, 刘鑫, 范倩倩, 高杨, 梁春苏, 张波
2022, 1(2): 199-205. DOI: 10.12376/j.issn.2097-0501.2022.02.015
摘要 HTML全文 PDF
多系统萎缩的诊治进展
张灵语, 商慧芳
2022, 1(2): 206-216. DOI: 10.12376/j.issn.2097-0501.2022.02.016
摘要 HTML全文 PDF
抗神经抗体在神经精神狼疮中的研究进展
陈思娴, 任海涛, 曾小峰, 关鸿志
2022, 1(2): 217-222. DOI: 10.12376/j.issn.2097-0501.2022.02.017
摘要 HTML全文 PDF
聚焦MRI对多发性硬化的研究进展
郑桥, 祝琦源, 李咏梅
2022, 1(2): 223-228. DOI: 10.12376/j.issn.2097-0501.2022.02.018
摘要 HTML全文 PDF