栏目
刊首语
2023, 2(3)
摘要 HTML全文 PDF
内分泌代谢罕见病研究现状、机遇与挑战
吴慧潇, 李宗跃, 徐潮, 赵家军
2023, 2(3): 319-324. DOI: 10.12376/j.issn.2097-0501.2023.03.001
摘要 HTML全文 PDF
糖代谢异常罕见病的分类及诊疗现状
黄雨蒙, 刘铭
2023, 2(3): 325-330. DOI: 10.12376/j.issn.2097-0501.2023.03.002
摘要 HTML全文 PDF
β型甲状腺激素抵抗综合征
王黄曼, 单忠艳, 滕晓春
2023, 2(3): 331-336. DOI: 10.12376/j.issn.2097-0501.2023.03.003
摘要 HTML全文 PDF
RNF216基因突变相关Gordon Holmes综合征的临床特征、基因分析及文献回顾
陈美平, 阳洪波, 潘慧, 冯逢, 朱以诚, 朱惠娟
2023, 2(3): 337-345. DOI: 10.12376/j.issn.2097-0501.2023.03.004
摘要 HTML全文 PDF
合并尿崩症的成人甲状腺朗格汉斯细胞组织细胞增生症临床特点和诊断经验
王倩, 孙全娅, 何敏, 张烁, 向博妮, 李秋璠, 王涌, 张夏玲, 丁天凌, 叶红英
2023, 2(3): 346-352. DOI: 10.12376/j.issn.2097-0501.2023.03.005
摘要 HTML全文 PDF
5例免疫检查点抑制剂相关糖尿病临床特点分析
韩丽, 余洁, 刘艺文, 付勇, 平凡, 李伟, 张化冰, 许岭翎, 李玉秀
2023, 2(3): 353-358. DOI: 10.12376/j.issn.2097-0501.2023.03.006
摘要 HTML全文 PDF
常见疾病的罕见表现: 中年男性多尿-头痛-炎症肉芽肿性病变
赵宇星, 段炼, 吕玮, 姚勇, 有慧, 张文, 马瑾, 毛歆歆, 朱惠娟
2023, 2(3): 359-364. DOI: 10.12376/j.issn.2097-0501.2023.03.007
摘要 HTML全文 PDF
双侧岩下窦静脉采血在库欣综合征诊断中应用的专家共识(2023)
中国罕见病联盟下丘脑垂体疾病学组, 北京协和医院垂体疾病创新诊疗中心
2023, 2(3): 365-376. DOI: 10.12376/j.issn.2097-0501.2023.03.008
摘要 HTML全文 PDF
青少年成人脊髓性肌萎缩症临床诊疗指南
中国研究型医院学会罕见病分会, 中国罕见病联盟, 北京罕见病诊疗与保障学会, 青少年成人脊髓性肌萎缩症临床诊疗指南中国专家组
2023, 2(3): 377-397. DOI: 10.12376/j.issn.2097-0501.2023.03.009
摘要 HTML全文 PDF
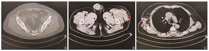
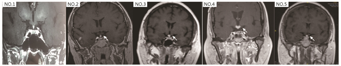
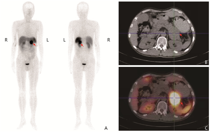
肿瘤性骨软化症68Ga-DOTATATE PET/CT显像特点分析
张雨薇, 景红丽
2023, 2(3): 398-405. DOI: 10.12376/j.issn.2097-0501.2023.03.010
摘要 HTML全文 PDF
探索高浓度羟钴胺制剂在甲基丙二酸血症的可及性
李若涵, 都丽萍, 接恒博, 梅丹
2023, 2(3): 406-413. DOI: 10.12376/j.issn.2097-0501.2023.03.011
摘要 HTML全文 PDF
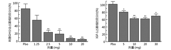
新型非肽类口服生长抑素受体配体paltusotine的临床研究进展
刘宇珂, 谭惠文
2023, 2(3): 414-419. DOI: 10.12376/j.issn.2097-0501.2023.03.012
摘要 HTML全文 PDF
月经稀发-多毛-不孕:浅谈非经典型21-羟化酶缺乏症临诊应对
聂智梅, 窦建新, 杜锦, 谷伟军, 吕朝晖, 窦京涛, 母义明
2023, 2(3): 420-426. DOI: 10.12376/j.issn.2097-0501.2023.03.013
摘要 HTML全文 PDF
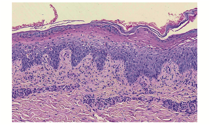
坏死松解性游走性红斑——胰腺占位一例
胡中慧, 杨璐, 刘跃华, 晋红中, 徐强, 刘雯静, 罗亚平, 阳洪波, 王涛
2023, 2(3): 427-431. DOI: 10.12376/j.issn.2097-0501.2023.03.014
摘要 HTML全文 PDF
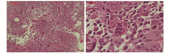
以多发软组织包块为主要表现的老年朗格汉斯细胞组织细胞增生症一例
邢明泉, 吴维霞, 孙晓星, 王其凯, 韩浩, 葛洪峰
2023, 2(3): 432-435. DOI: 10.12376/j.issn.2097-0501.2023.03.015
摘要 HTML全文 PDF
成人肾上腺皮质功能不全的激素替代治疗进展
陈晓雪, 李冉, 朱惠娟, 卢琳
2023, 2(3): 436-441. DOI: 10.12376/j.issn.2097-0501.2023.03.016
摘要 HTML全文 PDF
酶替代疗法在法布雷病治疗中的应用
于澈, 王荣
2023, 2(3): 442-449. DOI: 10.12376/j.issn.2097-0501.2023.03.017
摘要 HTML全文 PDF
黏多糖贮积症眼部并发症的诊疗进展
史美磐, 史彩平, 杜持新
2023, 2(3): 450-454. DOI: 10.12376/j.issn.2097-0501.2023.03.018
摘要 HTML全文 PDF
121种罕见病健康效用值测量研究现况
冯俊超, 李顺平, 陈敬丹, 谢诗瑶, 张悦, 江诗静
2023, 2(3): 455-462. DOI: 10.12376/j.issn.2097-0501.2023.03.019
摘要 HTML全文 PDF